Kurkumín v liečbe črevných zápalových ochorení

Úvod
Kurkuma (anglicky turmeric) je indické korenie získané z odrezkov rastliny curcuma longa, ktoré sa už dlho používa v ayurvédskej a čínskej medicíne na liečbu rôznych zápalových ochorení (1). Hlavnou aktívnou zložkou kurkumy je kurkumín, ktorý poskytuje koreniu jeho charakteristickú sýtožltú farbu. Rozsiahle výskumy za posledné polstoročie ukázali, že kurkumín má v organizme mnohé liečivé účinky (2).
Prvé terapeutické použitie kurkumy bolo zaznamenané už v roku 1748 a prvý vedecký článok v modernej dobe týkajúci sa účinku kurkumínu na rýchle vyprázdnenie žlčníka bol publikovaný v roku 1937 Oppenheimerom. Medzitým sa sľubné účinky kurkumínu pozorovali u pacientov s mnohými ochoreniami vrátane ulceróznej kolitídy, Crohnovej choroby, ale aj rakoviny, ochorení srdca a ciev, zápalových ochorení kĺbov (artritída), očí (uveitída), psoriáza alebo lupus. Pozitívne účinky boli pozorované aj pri cukrovke a jej komplikáciách a poruchách trávenia ako je biliárna dyskinéza, gastritída alebo žalúdočný vred. V neposlednom rade viaceré štúdie potvrdili priaznivý vplyv kurkumínu pri liečbe ulceróznej kolitídy a Crohnovej choroby.
Klinické štúdie takisto potvrdili, že kurkumín je veľmi dobre tolerovaný, bezpečný a v podstate bez vedľajších účinkov až do dávky 12 g denne. U niektorých pacientov sa môže pri vyšších dávkach vyskytnúť nevoľnosť alebo hnačky.
Obsah kurkumínu v kurkume a biologická dostupnosť
Je nesmierne dôležité si uvedomiť rozdiel medzi kari, kurkumou a kurkumínom. Kari je zmes mnohých korení, včítane kurkumy, ktorá mu dáva typické žlté sfarbenie. Kurkuma je sušené korenie a kurkumín je extrakt z tohto korenia. Samotný koreň kurkumy obsahuje podľa kvality iba približne 2 až 6 % kurkuminoidov. Z toho je asi 80% kurkumínu, 18% demetoxykurkumínu a 2% bisdemetoxykurkumínu (3). To znamená že jedna čajová lyžička kurkumy (asi 3-5 gramov) obsahuje iba približne 120-200 miligramov kurkumínu. Obsah pritom podľa kvality korenia môže významne kolísať.
Je dokázané, že kurkumín má vo všeobecnosti veľmi nízku systémovú biologickú dostupnosť, to znamená za normálnych okolností sa z čreva prakticky vôbec nevstrebáva a pôsobí len na sliznici čreva. Veľmi zaujímavé pozorovania, však publikovali Shoba a kolegovia, ktorí zistili, že vstrebávanie kurkumínu je dramaticky vyššie ak sa konzumuje spolu s peprínom, čo je hlavná aktívna zložka čierneho korenia. Piperín je známy inhibítor pečeňovej aj črevnej glukuronidácie. Shoba pozoroval, že u ľudí, ktorí dostávali dávku 2 gramy kurkumínu, boli hladiny kurkumínu v krvi buď nezistiteľné alebo veľmi nízke. Avšak súbežné podávanie 20 mg piperínu s kurkumínom zvýšil biologickú dostupnosť kurkumínu o 2000% t.j. dvadsaťnásobne.
Farmaceutickýá priemysel medzičasom vyvinul aj ďalšie prístupy na zvýšenie biologickej dostupnosti kurkumínu ako je použitie nanočastíc, lipozómov, fosfolipidových komplexov alebo štrukturálnych analógov (3)
Ako kurkumín účinkuje?
Mnohé predklinické aj klinické štúdie preukázali viaceré farmakologické účinky kurkumínu vrátane protizápalových, antioxidačných, antimikrobiálnych a protinádorových vlastností (3). Tieto účinky kurkumínu vychádzajú z jeho schopnosti ovplyvňovať viaceré signalizačné molekuly, ako sú prozápalové cytokíny, NF-κB, cyklooxygenáza-2, STAT3, C-reaktívny proteín, prostaglandín E2, , transformujúci rastový faktor-β (TGFβ), kreatinín, HO-1, AST alebo ALT. V pokusoch na zvieratách, u ktorých bol umelo vyvolaný črevný zápal (tzv. experimentálna kolitída), bolo pozorované, že sa zoslabila produkcia kľúčových prozápalových pôsobkov, ako je TNFa, IL-1ß, IL-12, NF-kB alebo IFNy, a zosilnila sa produkcia tých protizápalových ako je TGFβ. Čiže v zásade kurkumín pôsobil podobne ako najmodernejšie lieky, ktoré takisto blokujú pôsobenie TNFa alebo IL-12. Priaznivé účinky kurkumínu sa pozorovali aj na viacerých zvieracích modeloch. Podávanie kurkumínu viedlo k zmierneniu až vyliečeniu chemicky indukovanej experimentálnej kolitídy u myší. U pacientov s črevnými zápalmi sa dokázalo, že kurkumín potlačil aktiváciu zápalovej p38 mitogénom aktivovanej proteínkinázy (p38 MAPK) vo vozorkách zo sliznice čreve detí a dospelých s IBD (4).
Klinické štúdie s kurkumínom u pacientov s črevnými zápalovými ochoreniami.
Pri hodnotení liečivého účinku látky na ochorenie je dôležité zrealizovať klinické štúdie u pacientov s daným ochorením a preukázať priaznivý účinok a bezpečnosť látky. Bez klinického skúšania u ľudí nie je možné spoľahlivo konštatovať, či je alebo nie je liečivo účinné a či má alebo nemá vedľajšie účinky. Pokusy na myškách alebo v laboratóriách nestačia a už vôbec nestačí individuálny názor alebo hoci aj presvedčivé konštatovanie nejakého liečiteľa.
Na rozdiel od iných prírodných látok je účinok kurkumínu preverený aj v niekoľkých serióznych klinických štúdiách. Štyri nedávne štúdie hodnotili účinok kurkumín u pacientov s ulceróznou kolitídou a jedna menšia štúdia sledovala vplyv na pacientov s Crohnovou chorobou.
Prvú pomerne veľkú štúdiu publikoval Hanai v roku 2006. V štúdii, ktorá prebiehala vo viacerých lekárskych centrách dostávala skupina 89 pacientov s ľahkou až stredne ťažkou ulceróznou kolitídou v remisii popri liečbe mesalazínom aj kapsuly s kurkumínom v dávke 1 gram dvakrát denne alebo placebo (5). Počas polročného sledovania došlo k zhoršeniu ochorenia (relapsu) u 21% pacientov, ktorý užívali placebo a mesalazín ale iba u 5 % z tých čo užívali mesalazín s kurkumínom. Kurkumín tiež významne zlepšil klinickú aktivitu a nález na kolonoskopii a bol dobre tolerovaný, t.j. bez vedľajších účinkov.
Singla publikoval v roku 2014 výsledky štúdie u 45 pacientov s ľahkou až stredne ťažkou ulceróznou kolitídou, ktorí popri tabletkách s mesalazínom dostávali 8 týždňov buď klyzmu s kurkumínom v nízkej dávke 140 mg alebo placebo (6). Táto štúdia zistila, že kurkumín bol veľmi dobre tolerovaný a aj pri tejto veľmi nízkej dávke a podávaní vo forme klyzmy bol o účinnejší ako placebo u tých pacientov, ktorý celú liečbu doužívali.
Oveľa presvedčivejšie zistenia boli pozorované v klinickej štúdii Langa z roku 2015 (7). Skupina 50 pacientov s aktívnou miernou až stredne ťažkou ulceróznou kolitídou, ktorí neodpovedali na 2 týždne liečby maximálnou dávkou mesalazínu, boli náhodne zaradení do skupiny, ktorá užívala kapsuly s kurkumínom v dávke 3 g/deň, (n=26) alebo do skupiny, ktorá užívala placebo (n=24). Pacienti užívali liečbu jeden mesiac a popri tom naďalej užívali mesalazín. Po 4 týždňoch liečby boli zistené výrazné rozdiely v odpovedi nREmisia a liečbu. Výrazné zlepšenie (tzv. klinickú odpoveď) dosiahlo 17 z 26 pacientov (65,3%) pacientov liečených kurkumínom, ale iba 3 z 24 pacientov (12,5%), ktorí dostávali placebo.

Obrázok. Výsledok liečby kurkumínom u pacientov s ulceróznou kolitídou. Response wk4 – Odpoveď na liečbu v štvrtom týždni. Remission wk4 – Úplná klinická odpoveď (remisia) v štvrtom týždni (podľa článku Lang a spol, 2015)
Úplné zlepšenie (klinickú remisiu) dosiahlo 14 z 26 pacientov (53,8%) na kurkumíne, ale žiaden z 24 pacientov, čo dostávali placebom. Vyhojenie vredov pri kolonoskopii (tzv endoskopická remisia) bola pozorovaná po mesiaci liečby u 8 z 22 pacientov (36,3%) liečených kurkumínom a u 0 z 16 pacientov (0%), ktorým bolo podávané placebo. Výskyt nežiaducich účinkov sa medzi dvoma ramenami nelíšil. Štyria pacienti udávali prechodné mierne nežiadúce účinky: nevoľnosť, nadúvanie alebo hnačku, ale ani jeden z dôvodu týchto miernych liečbu nemusel prerušiť. takisto neboli pozorované žiadne nové abnormálne výsledky v laboratórnych testoch.
Účinok kurkumínu u pacientov s Crohnovou chorobou sa hodnotil iba v jednej malej klinickej štúdii, ktorú publikoval Holt v roku 2005. Piatim pacientom s Crohnovou chorobou bol kurkumín podávaný v dávke 360 mg trikrát denne počas 1 mesiaca a potom 360 mg štyrikrát denne počas ďalších dvoch mesiacov. Autori pozorovali mierny, ale štatisticky významný pokles aktivity ochorenia aj zápalových parametrov z krvi (sedimentácia a CRP). Výsledky však neboli veľmi presvedčivé a ani jeden pacient nedosiahol remisiu ochorenia. Holt v tej istej štúdii sledoval účinnosť aj u piatich pacientov s ulceróznou kolitídou s postihnutím konečníka (proktitídou), ktorým bol podávaný kurkumín v dávke 550 mg dvakrát denne počas 1 mesiaca a potom 550 mg trikrát denne počas ďalšieho mesiaca. U pacientov s ulceróznou kolitídou naopak došlo v významnému zlepšeniu príznakov aj zápalovej aktivity (CRP) u každého z pacientov.
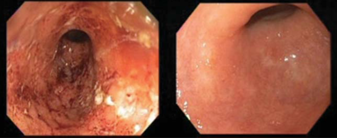
Okrem uvedených štúdií bol nedávnou popísaný v odbornej literatúre aj prípad 60 ročnej pacientky s ťažkou dlhoročnou ulceróznou kolitídou, ktorej nepomáhala ani liečba kortikoidmi. Po podávaní kurkumínu v dávke 500mg denne došlo k úplnému ústup ťažkostí a vyhojeniu zápalu na čreve (8).
Obrázok: Nález vredov v hrubom čreve v decembri 2009 a úplné zhojenie po polročnej liečbe kurkumínom v septembri 2010 podľa článku Lahiff a spol, 2011 (8).
Pre koho je liečba kurkumínom vhodná a v akej dávke?
Kurkumín je veľmi vhodný doplnok na liečbu ulceróznej kolitídy u pacientov s mernou až stredne ťažkou formou ochorenia, najmä ak nie je liečba adekvátnou dávkou mesalazínu dostatočne účinná. U pacientov s Crohnovou chorobou je účinok kurkumínu zatiaľ otázny. Publikované boli zatiaľ iba veľmi obmedzené skúsenosti.
Na základe horeuvedených klinických výskumov sa doporučuje začať liečbu ulceróznej kolitídy v dávke 3 gramy denne rozdelených do dvoch až troch denných dávok a po dosiahnutí účinku je možné znížiť dávku na 2 gramy denne rozdelené na dve dávky. Vyššie dávky sú síce bezpečné až do dennej dávky 8-12 gramov, ale skúsenosti s použitím vyšších dávok neboli zatiaľ publikované.
Kurkumín nemá v doporučených dávkach žiadne známe kontraindikácie.
Ktorý kurkumín je na liečbu ulceróznej kolitídy vhodný?
Je nesmierne dôležité, uvedomiť si rozdiel medzi kari, kurkumou a kurkumínom. Kari je zmes korenín, včítanie korenia kurkumy a kurkumín je extrakt z kurkumy. Samotná kurkuma obsahuje len veľmi malé percento kurkumínu. Jedna čajová lyžička kurkumy tak obsahuje iba asi 100-160 miligramov kurkumínu. Na dosiahnutie požadovanej liečebnej dávky kurkumy 3 gramy, by tak bolo potrebné denne skonzumovať 19-30 lyžičiek kurkumy, čo je prakticky nemožné.
V štúdiách aj v praxi sa preto používa extrakt kurkumínu. Na trhu je viacero preparátov s kurkumínom. Pri výbere preparátu je potrebné si dôkladne overiť kvalitu daného produktu a udávaný obsah kurkumínu a/alebo iných kurkuminoidov. V optimálnom prípade by mal preparát obsahovať viac ako 90% kurkumínu v čistej forme od renomovaného výrobcu. Pre liečbu ulceróznej kolitídy nie je nutné, aby bol kurkumín špeciálne upravovaný, nakoľko pôsobí priamo na sliznici čreva a nemusí sa vstrebávať.
Samozrejme dôležitá je aj cena, nakoľko kurkumín je registrovaný ako výživový doplnok, liečbu zdravotné poisťovne nepreplácajú a pacient si ju hradí sám.
Referencie na články použité v texte.
- Sebepos-Rogers GM, Rampton DS. Herbs and Inflammatory Bowel Disease. Gastroenterol Clin North Am. 2017;46(4):809-24. Pubmed: http://www.ncbi.nlm.nih.gov/pubmed/29173523
- Gupta SC, Patchva S, Aggarwal BB. Therapeutic Roles of Curcumin: Lessons Learned from Clinical Trials. The AAPS Journal. 2013;15(1):195-218. Pubmed: http://www.ncbi.nlm.nih.gov/pubmed/23143785
- Algieri F, Rodriguez-Nogales A, Rodriguez-Cabezas ME, et al. Botanical Drugs as an Emerging Strategy in Inflammatory Bowel Disease: A Review. Mediators of inflammation. 2015;2015:179616. Pubmed: http://www.ncbi.nlm.nih.gov/pubmed/26576073
- Epstein J, Docena G, MacDonald TT, et al. Curcumin suppresses p38 mitogen-activated protein kinase activation, reduces IL-1beta and matrix metalloproteinase-3 and enhances IL-10 in the mucosa of children and adults with inflammatory bowel disease. Br J Nutr. 2010;103(6):824-32. Pubmed: http://www.ncbi.nlm.nih.gov/pubmed/19878610
- Hanai H, Iida T, Takeuchi K, et al. Curcumin maintenance therapy for ulcerative colitis: randomized, multicenter, double-blind, placebo-controlled trial. Clinical gastroenterology and hepatology : the official clinical practice journal of the American Gastroenterological Association. 2006;4(12):1502-6. Pubmed: http://www.ncbi.nlm.nih.gov/pubmed/17101300
- Singla V, Pratap Mouli V, Garg SK, et al. Induction with NCB-02 (curcumin) enema for mild-to-moderate distal ulcerative colitis – a randomized, placebo-controlled, pilot study. Journal of Crohn’s & colitis. 2014;8(3):208-14. Pubmed: http://www.ncbi.nlm.nih.gov/pubmed/24011514
- Lang A, Salomon N, Wu JC, et al. Curcumin in Combination With Mesalamine Induces Remission in Patients With Mild-to-Moderate Ulcerative Colitis in a Randomized Controlled Trial. Clinical gastroenterology and hepatology : the official clinical practice journal of the American Gastroenterological Association. 2015;13(8):1444-9 e1. Pubmed: http://www.ncbi.nlm.nih.gov/pubmed/25724700
- Lahiff C, Moss AC. Curcumin for clinical and endoscopic remission in ulcerative colitis. Inflammatory bowel diseases. 2011;17(7):E66. Pubmed: http://www.ncbi.nlm.nih.gov/pubmed/21484966
Mohlo by Vás zaujímať
Novinka v liečbe ulceróznej kolitídy; hyaluronát sodný (TRUD)
Životospráva pri ulceróznej kolitíde

